As many as 1 in 7 Americans (more than 35 million people) have chronic kidney disease (CKD), especially those with diabetes and hypertension. About 90% of them don’t feel ill and are not aware that they have CKD, according to the U.S. Centers for Disease Control and Prevention. Early stages...
Battling Cancer Using Rametrix® Urine Molecular Fingerprinting™
Cancer, a common and devastating disease process in both people and animals, can be difficult to detect until it is in relatively advanced stages – when it is more challenging to treat and control. Rametrix Technologies, Inc. is now leveraging its platform technology – Rametrix Urine Molecular Fingerprinting® - in...
Rapid, cost effective, screening for CKD/ESRD and diseases associated with CKD/ESRD using Rametrix® UMF™
Urine is the penultimate ‘liquid biopsy’, not only of the genitourinary tract, but the body as a whole. It is formed continuously, varies in composition depending on renal anatomy, physiological function, diet, state of hydration, disease processes, and the kinetics of metabolism. Normal urine contains more than 2500 distinct types...
People helping animals, animals helping people
Several breeds of dogs, including Bernese Mountain Dogs, Golden Retrievers, German Shepherd Dogs, and short-legged terriers (West Highland White Terriers, Scottish Terriers) have a significantly higher incidence of specific cancers than other breeds of dogs. For example, up to 50% of Bernese Mountain Dogs may develop aggressive soft tissue tumors...
Clinically Healthy Volunteers Database
This study of clinically healthy volunteers, with no laboratory or clinical evidence of renal dysfunction, established the database of Rametrix® UMF™ fingerprints that could be expected when obtaining urine specimens from healthy individuals and analyzed by UMF and provides the methodology for linking results with donor characteristics. (Senger, R, Sullivan,...
Stage 4/5 CKD in peritoneal dialysis (PD) patients
Periodic ‘adequacy testing’ of urine and spent dialysate is an important activity in assessing efficacy of peritoneal dialysis and detecting complication of therapy, such as membrane fibrosis and peritonitis.Rametrix® UMF™ was able to identify the type of specimen (as PD patient urine or spent dialysate) with better than 98% accuracy,...
Multicenter Study of Canine Visceral Hemangiosarcoma
Working with the sponsorship of the Morris Animal Foundation and colleagues at five major veterinary medical academic centers in the US, Europe, and South America, RTI has launched a 24-month study of an aggressive tumor of the spleen and heart (visceral hemangiosarcoma) using Rametrix Urine Molecular Fingerprinting.
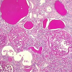
Veterans Affairs Diabetic Nephropathy Study
Renal disease is an extremely common and serious complication of diabetes mellitus. We studied 263 urine specimens from Veterans seeking care at a Veterans Affairs Healthcare Center Nephrology Clinic. Samples were collected from patients that had kidney biopsies as part of their care and also from non-biopsied diabetic and non-diabetic...
Urine Molecular Fingerprinting of Human Prostate Cancer
Prostate cancer is the most common cancer diagnosis in men and the second leading cause of male cancer death in the United States, with approximately 35,000 deaths per year. Screening with Prostate Specific Antigen testing (PSA) and early detection of prostate cancer has been demonstrated to save lives. However, MRI-guided...
Lyme Disease (LD) Study
Patients with LD suffer a variety of clinical symptoms, including rash (erythema migrans), headache, arthritis, fatigue, myalgia, and neurocognitive dysfunction. LD associated glomerulonephritis may occur but is considered an uncommon problem. We studied 85 urine specimens from diagnosed LD patients using UMF, specifically to see if there were urine fingerprints...




